Jako właścicielka psa doskonale rozumiem troskę o jego zdrowie i bezpieczeństwo. Wiele razy spotykałam się z pytaniem, czy podawanie psu kości z żeberek jest bezpieczne. To jedno z tych zagadnień, które budzi wiele kontrowersji, a jednocześnie jest niezwykle ważne dla zdrowia naszych pupili. W tym artykule, opierając się na wiedzy weterynaryjnej, wyjaśnię realne zagrożenia i pomogę podjąć odpowiedzialną decyzję, aby nasz czworonożny przyjaciel mógł cieszyć się długim i zdrowym życiem.
Podawanie psu kości z żeberek jest skrajnie niebezpieczne poznaj najważniejsze fakty
- Kości gotowane i pieczone: Są śmiertelnym zagrożeniem. Pod wpływem temperatury stają się kruche i pękają na ostre jak igły odłamki, które mogą przebić narządy wewnętrzne psa.
- Kości surowe: Choć mniej kruche, wciąż niosą wysokie ryzyko zadławienia, połamania zębów, niedrożności jelit oraz zakażeń bakteryjnych (np. Salmonella).
- Główne zagrożenia: Najpoważniejsze konsekwencje to perforacja jelit prowadząca do sepsy, zadławienie, bolesna niedrożność przewodu pokarmowego i kosztowne urazy zębów.
- Bezpieczne alternatywy: Istnieje wiele polecanych przez weterynarzy gryzaków, które zaspokajają naturalną potrzebę żucia bez narażania zdrowia i życia psa.

Kość gotowana a surowa: poznaj różnicę, która ratuje życie psa
Wielu właścicieli psów zastanawia się, czy istnieje bezpieczna forma podawania kości. Niestety, w przypadku żeberek, odpowiedź jest jednoznaczna: ryzyko zawsze przewyższa potencjalne korzyści. Kluczowe jest zrozumienie różnicy między kościami gotowanymi a surowymi, ponieważ ma ona fundamentalne znaczenie dla bezpieczeństwa naszego pupila.
Dlaczego gotowane żeberka to śmiertelna pułapka?
Z mojego doświadczenia wiem, że kości po obróbce termicznej gotowane, pieczone, a nawet smażone są absolutnie zakazane dla psów. To nie jest przesada, to fakt. Pod wpływem wysokiej temperatury kości tracą wodę i kolagen, co sprawia, że stają się niewiarygodnie twarde i kruche. Kiedy pies próbuje je rozgryźć, zamiast się ścierać, łamią się na ostre, szpiczaste odłamki, niczym kawałki szkła. Te ostre fragmenty mogą z łatwością przebić delikatne tkanki przełyku, żołądka lub jelit, prowadząc do krwotoków wewnętrznych, zapalenia otrzewnej i sepsy. Taki stan jest bezpośrednim zagrożeniem życia i niemal zawsze wymaga natychmiastowej, kosztownej i skomplikowanej interwencji chirurgicznej. Zawsze powtarzam, że to ryzyko, którego po prostu nie warto podejmować.
Surowe żeberka mniejsze zło, ale czy na pewno bezpieczne?
Często słyszę argument, że surowe kości są bezpieczniejsze. I choć faktycznie są mniej kruche niż te gotowane, to wciąż niosą ze sobą szereg poważnych zagrożeń, których nie można lekceważyć. Jako odpowiedzialny właściciel, musisz być świadomy tych ryzyk:
- Ryzyko zadławienia się kawałkiem kości, zwłaszcza jeśli pies jest łapczywy i próbuje połknąć zbyt duży fragment. Może to prowadzić do niedrożności dróg oddechowych i uduszenia.
- Możliwość złamania zębów podczas gryzienia twardej kości. Takie urazy są niezwykle bolesne dla psa, wymagają interwencji weterynaryjnej, a często nawet ekstrakcji zęba, co wiąże się z cierpieniem i wysokimi kosztami leczenia.
- Ryzyko zakażenia groźnymi bakteriami, takimi jak Salmonella czy E. coli. Surowe mięso i kości mogą być ich nośnikami, co może prowadzić do poważnych problemów żołądkowo-jelitowych u psa, a także stanowić zagrożenie dla domowników.
- Ryzyko bolesnych zaparć spowodowanych niestrawionymi fragmentami kości. Mogą one tworzyć twarde masy w jelitach, prowadząc do niedrożności, silnego bólu i konieczności interwencji weterynaryjnej, nierzadko chirurgicznej.

Co naprawdę może stać się psu po zjedzeniu kości z żeberka
Niestety, konsekwencje podania psu kości z żeberka mogą być bardzo poważne, a nawet tragiczne. Widziałam w swojej praktyce wiele przypadków, gdzie pozornie niewinny przysmak kończył się dramatem. Oto pięć najpoważniejszych zagrożeń zdrowotnych, na które narażamy naszego pupila:
- Zadławienie i niedrożność dróg oddechowych: To jedno z najgroźniejszych i najbardziej nagłych zagrożeń. Kawałek kości może utknąć w przełyku lub tchawicy psa, blokując dopływ powietrza. W takiej sytuacji liczy się każda sekunda, a interwencja musi być natychmiastowa, często ratunkowa.
- Perforacja przewodu pokarmowego: Ostre krawędzie kości, zwłaszcza tych gotowanych, mogą przebić ścianę przełyku, żołądka lub jelit. To prowadzi do wycieku treści pokarmowej do jamy brzusznej, co skutkuje zapaleniem otrzewnej stanem bezpośredniego zagrożenia życia, wymagającym natychmiastowej operacji.
- Niedrożność jelit (masy kostne): Fragmenty kości, które nie zostaną strawione, mogą zbijać się w twarde masy, tworząc "zator" w jelitach. Pies cierpi wtedy na silne bóle brzucha, wymioty, zaparcia i brak apetytu. Taka niedrożność wymaga często interwencji chirurgicznej, aby usunąć zablokowane masy.
- Połamane zęby i urazy jamy ustnej: Gryzienie twardych kości, zarówno surowych, jak i gotowanych, może prowadzić do pęknięć, ukruszeń, a nawet całkowitego złamania zębów. To nie tylko bolesne, ale i kosztowne w leczeniu. Ostre krawędzie mogą również powodować rany i krwawienia w jamie ustnej, na języku czy dziąsłach.
- Zatrucia bakteryjne: Surowe kości mogą być skażone bakteriami takimi jak Salmonella, E. coli czy Clostridium. Spożycie ich przez psa może wywołać silne zatrucie pokarmowe objawiające się wymiotami, biegunką (często krwawą), gorączką i ogólnym osłabieniem. W skrajnych przypadkach może to prowadzić do sepsy i śmierci.
Pies już zjadł kość co robić i na jakie sygnały zwrócić uwagę
Jeśli zdarzyło się, że twój pies zjadł kość z żeberka, najważniejsze jest zachowanie spokoju i podjęcie odpowiednich kroków. Pamiętaj, że twoja reakcja może mieć kluczowe znaczenie dla jego zdrowia.
Czego absolutnie nie wolno robić:
- Nie próbuj samodzielnie wywoływać wymiotów u psa. Ostre fragmenty kości, które przemieściły się już w dół przewodu pokarmowego, mogą spowodować jeszcze większe uszkodzenia przełyku, gdy będą wracać do góry. To może pogorszyć sytuację i doprowadzić do poważnych ran wewnętrznych.
- Nie podawaj psu żadnych środków przeczyszczających ani domowych sposobów na "przesunięcie" kości. Może to tylko zaostrzyć problem i wywołać dodatkowe komplikacje.
Jakie sygnały powinny cię zaniepokoić i skłonić do natychmiastowej wizyty u weterynarza:
- Wymioty (szczególnie jeśli są częste, uporczywe lub zawierają krew).
- Apatia, osłabienie, brak energii, niechęć do zabawy i ruchu.
- Ból brzucha (pies może być niespokojny, unikać dotyku w okolicy brzucha, przyjmować pozycję "modlącą się" przednie łapy wyciągnięte, zad podniesiony).
- Problemy z wypróżnianiem (silne parcie na stolec bez efektu, zaparcia lub biegunka).
- Krew w stolcu (świeża krew lub czarny, smolisty stolec, wskazujący na krwawienie z górnego odcinka przewodu pokarmowego).
- Ślinotok, trudności w połykaniu lub oddychaniu (mogą świadczyć o zadławieniu lub utknięciu kości w przełyku).
- Brak apetytu lub niechęć do jedzenia i picia.
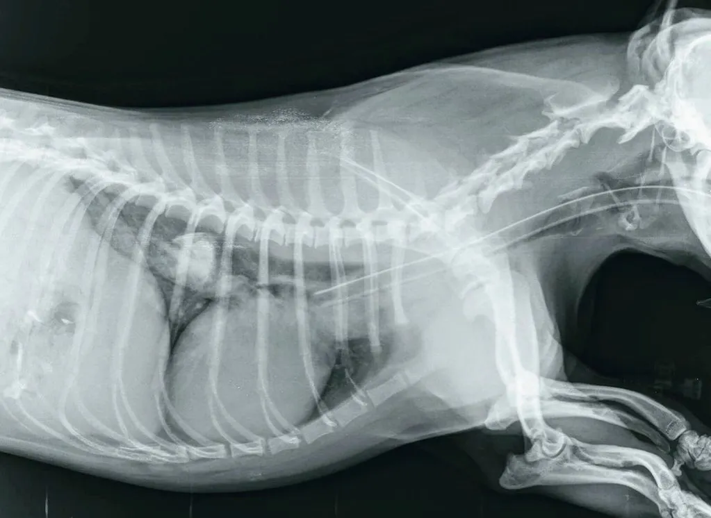
W przypadku zaobserwowania któregokolwiek z tych objawów, natychmiast skontaktuj się z weterynarzem. Lekarz prawdopodobnie zleci badanie RTG, aby zlokalizować kość i ocenić ryzyko, a następnie podejmie decyzję o dalszym postępowaniu.

Zaspokój naturalną potrzebę gryzienia w bezpieczny sposób
Każdy pies ma naturalną potrzebę żucia i gryzienia to instynkt, który pomaga im w utrzymaniu higieny jamy ustnej, redukcji stresu i po prostu w dobrej zabawie. Na szczęście istnieje wiele bezpiecznych i polecanych przez specjalistów alternatyw dla kości, które zaspokoją tę potrzebę bez narażania zdrowia i życia naszego pupila. Pamiętaj, że wybór odpowiedniego gryzaka jest kluczowy.
| Rodzaj gryzaka | Przykłady i krótkie omówienie |
|---|---|
| Naturalne gryzaki | Są to suszone produkty pochodzenia zwierzęcego, które są całkowicie strawne i bezpieczne. Przykłady to: suszone uszy (wołowe, królicze), żwacze wołowe, penisy wołowe, tchawice. Są bogate w białko i stanowią świetne źródło rozrywki, a jednocześnie są bezpieczne dla układu pokarmowego. Zawsze wybieraj te o odpowiedniej wielkości do rasy i temperamentu psa. |
| Twarde i wytrzymałe gryzaki | Idealne dla psów o silnej potrzebie gryzienia, które szybko niszczą inne zabawki. Do tej kategorii należą: poroże jelenia (naturalnie zrzucane, bardzo twarde i trwałe), korzeń wrzośca. Są one praktycznie niezniszczalne, nie łamią się na ostre kawałki i pomagają w czyszczeniu zębów. Ważne jest, aby monitorować psa podczas gryzienia. |
| Gryzaki funkcjonalne i dentystyczne | Oprócz zaspokajania potrzeby gryzienia, te gryzaki mają dodatkowe właściwości prozdrowotne. Są to komercyjne gryzaki dentystyczne (np. w kształcie szczoteczek), które dzięki swojej strukturze i składnikom aktywnym pomagają redukować kamień nazębny i odświeżać oddech. Dostępne są również twarde zabawki z gumy naturalnej, które można wypełniać przysmakami. |
Przeczytaj również: Pies a wieprzowina: Bezpieczne karmienie i śmiertelne pułapki
Werdykt weterynarzy: czy pies może jeść kości z żeberek?
Podsumowując, jako weterynarz i właścicielka psa, muszę powiedzieć to jasno i wyraźnie: podawanie psu kości z żeberek to zawsze ryzyko, którego nie warto podejmować. Niezależnie od tego, czy są to kości surowe, czy gotowane, potencjalne zagrożenia dla zdrowia i życia naszego pupila znacznie przewyższają jakiekolwiek korzyści. Moje doświadczenie i wiedza naukowa są w tej kwestii jednoznaczne.
Zdaniem lekarzy weterynarii, nie istnieje coś takiego jak w 100% bezpieczna kość z żeberka dla psa to zawsze niepotrzebna gra w rosyjską ruletkę ze zdrowiem pupila.
Naszym obowiązkiem jako opiekunów jest podejmowanie mądrych i bezpiecznych decyzji żywieniowych. Wybierajmy świadomie bezpieczne alternatywy, które zaspokoją naturalne potrzeby naszych psów, jednocześnie zapewniając im zdrowie i długie, szczęśliwe życie u naszego boku.






